|
《2016中国口腔健康趋势白皮书》显示,高达98%的中国人正在遭受不同程度的口腔问题困扰。为此,牙科医生们一直穿梭在最前线,不断摸索、不断改进,只为寻找最佳的治疗方案。我们有幸获得《2021南方牙科展》病例大赛入选医生的授权,将他们经手的真实病例分享给大家,希望能给更多的牙科医生在以后的口腔治疗中提供一些参考和借鉴。
- 第1期 病例作者—何昌平 -
正畸治疗:何昌平(重庆协尔口腔门诊部)
修复治疗:向秋叙(重庆协尔口腔门诊部)
牙体牙髓 牙周治疗:李琳(重庆协尔口腔门诊部)
一、病例摘要
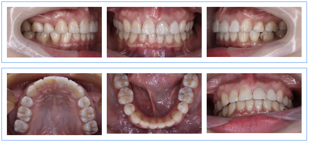
患者:女,32岁;
主诉:全口多颗牙齿龋坏数年,要求全口治疗。
二、临床检查
—前牙残根(问诊由龋坏发展而来,患者喜碳酸饮料,口腔清洁习惯较差)
—全口牙龈红肿,双侧后牙远中关系、前牙深覆合深覆盖
— 口内残根:17、21、35、45
—龋坏:18O、15DO、12B、11MB、22MB、47O
—面部垂直比例三等份;面部左右基本对称
— 上下唇稍凸,頦唇沟浅
三、影像检查
— 残根17、35、45保留无望(修复间隙变窄)
—18智齿牙根情况尚可
—21斜面断端,唇侧断端位于龈下1mm,唇侧测根长12mm,腭侧测根长16mm
四、治疗过程
第一阶段:基础治疗
—OHI
—21根管治疗
—17、35、45残根拔除
—龋坏牙齿充填
—牙周治疗前后,牙周大表显示牙龈探诊出血阳性位点明显减少
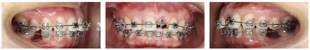
第二阶段:正畸修复联合治疗
—粘接矫治器,合向牵引21
—上颌拔除14、24,右上采用中等支抗内收关闭间隙,左上强支抗
—下颌弱支抗关闭间隙(前牙3D打印舌侧夹板)
—21树脂冠确定近远中径,粘接矫治器对其转矩精细调整
—21颊腭侧牙周修整
五、治疗结束
六、案例总结
1.微笑美学改善,患者治疗前前牙残根、龋坏、牙龈炎,严重影响微笑美观。通过系统化治疗,恢复前牙的形态、获得牙龈健康、牙齿良好的排列。使得笑容美观得到提升。
2.21牵引修复,21残根长度12mm,牙槽骨内根长11mm,完善根管治疗术后,通过矫正合向牵引2mm,骨内剩余长度9mm,最终完成桩冠修复,冠根比例1:1。21在使用过程中健康稳定。
3.侧貌美观,正畸治疗在关闭多颗(14、24、35、45、17)拔牙间隙过程中,为避免过度内收影响患者面型美观,采取下颌弱支抗、上颌中等支抗设计,最终内收完成上下前牙处于理想位置,收获良好的侧貌美观。
4.后期稳定性。患者患龋风险高,通过问诊检查发现与饮食习惯以及口腔保健意识有直接关系,治疗过程中通过OHI,患者掌握较好的刷牙、牙线使用方法,同时戒除碳酸饮料,1年复查没有新发龋坏,并且通过菌斑染色显示菌斑控制良好。
本文征得原创者授权制作发布,病例分享:重庆协尔口腔门诊,再次感谢分享!

SDHE 2021 组委会联系方式
参会参观:免费
学分:国家继续教育I类学分 7分
参观咨询:秘书处18320067300
公众号:深圳亚太口腔展
|